Сегодня мы обсудим возможности искусственного интеллекта Diagnocat в оказании помощи стоматологам при планировании лечения.

Рентгенологический отчет Diagnocat не только указывает на наличие периапикального участка деструкции, но и указывает на его причины – наличие незапломбированного канала

«Эндодонтический отчет» Diagnocat помогает зафиксировать изначальный объем периапикального очага и изучить анатомию и морфологию корневых каналов до начала лечения

Проведено повторное эндодонтическое лечение зуба 4.4

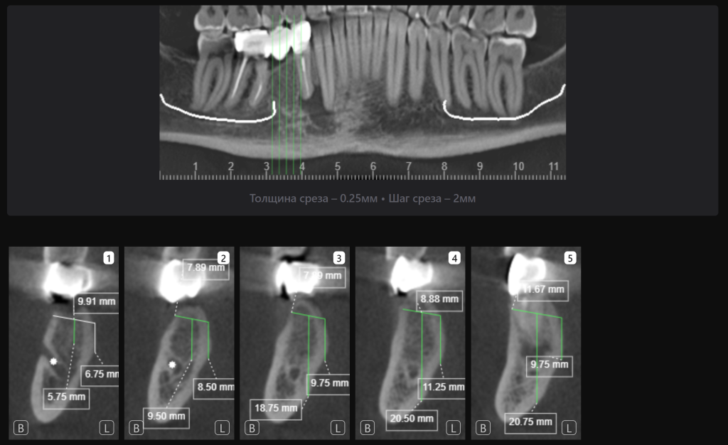
«Имплантологический отчет»- способен автоматически определять параметры альвеолярного гребня, что значительно упрощает выбор оптимальных размера и расположения имплантата


Через 12 месяцев мы видим положительную динамику после проведенного эндодонтического лечения зуба 4.4 и благоприятную ортопедическую позицию имплантатов







