Detection of dental attrition

Picture of Diagnocat

Diagnocat

Updated: March 20, 2024
Published: June 28, 2023

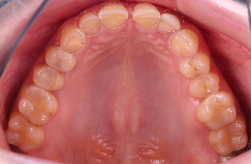
We present you a clinical case revealing the useful function of Diagnocat – detection of dental attrition

How would you like to review claim submissions for over 350 dental procedure codes, and save time by automating approval for the ones that meet your specific medical necessity guidelines? With our technology, we’ve gained the trust of dental insurers covering 100 million members.

Detection of dental attrition 1

We present you a clinical case revealing the useful function of Diagnocat – detection of dental attrition

How would you like to review claim submissions for over 350 dental procedure codes, and save time by automating approval for the ones that meet your specific medical necessity guidelines? With our technology, we’ve gained the trust of dental insurers covering 100 million members.

Detection of dental attrition 3

We present you a clinical case revealing the useful function of Diagnocat – detection of dental attrition

How would you like to review claim submissions for over 350 dental procedure codes, and save time by automating approval for the ones that meet your specific medical necessity guidelines? With our technology, we’ve gained the trust of dental insurers covering 100 million members.

Detection of dental attrition 5

We present you a clinical case revealing the useful function of Diagnocat – detection of dental attrition

How would you like to review claim submissions for over 350 dental procedure codes, and save time by automating approval for the ones that meet your specific medical necessity guidelines? With our technology, we’ve gained the trust of dental insurers covering 100 million members.

Detection of dental attrition 7

Share

Welcome to Diagnocat!

Please select your region or country

Watch the record

Schedule an online demo to learn more about Diagnocat
Loading...

Click the option that best describes you and your business

Single Practitioners
Independent general practitioners and specialists, looking to grow their personal brand.
Multispeciality Clinic and Dental Service Organizations (DSO)
Established dental organizations and practices providing multiple dental specialty treatments
Labs and Diagnostic Centers
Dental labs providing services to independent dental practices or multi-specialities

Welcome to Diagnocat!

Please select your region or country