If you are seeking innovative solutions to create a comprehensive treatment plan for total prosthetic rehabilitation for your patient, Diagnocat AI can be a useful tool to assist you in the planning process

The patient came with complaints about poor dental aesthetics. A CBCT scan was performed as part of the checkup and a radiological screening was created using Diagnocat AI

Thanks to the Diagnocat report, we can plan the sequence of stages for therapeutic and implant treatment. It’s important to note that Diagnocat artificial intelligence can distinguish between pathologies such as “attrition” and “abfraction”, which is reflected in the report

The 3D-Viewer module allows us to visualize the area of interest simultaneously in all three axes, which helps us determine the tooth prognosis before the start of treatment. Additionally, we can study the anatomy and morphology of root canals prior to treatment

Endodontic retreatment of tooth 36 (Universal 19) was performed. Post and core was successfully removed

Virtual models of the template for guided implant surgery can be created using the “STL” module of Diagnocat. To create these virtual models, intraoral scan data is loaded into the module and a suitable CBCT is selected for merging

Prosthetic constructions

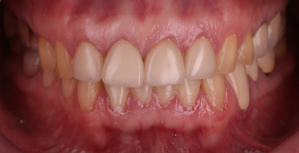
The final result of comprehensive prosthetic rehabilitation with Diagnocat AI

After 18 months from the beginning of the treatment, a repeat CBCT was performed with data analysis by the Diagnocat AI







