Представляем Вам клинический случай планирования имплантологического лечения вместе с искусственным интеллектом Diagnocat!

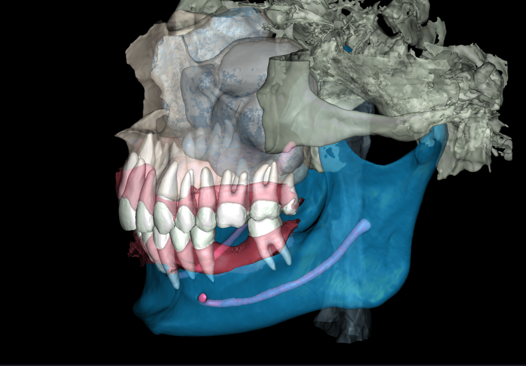
«Имплантологический отчет» Diagnocat способен автоматически измерить параметры костного гребня, помогая облегчить процесс выбора оптимальных размера и расположения имплантата

Врач может загрузить данные внутриротового сканирования в STL модуль и получить 3D-модель для выбора оптимального положения имплантата и планирования навигационного шаблона

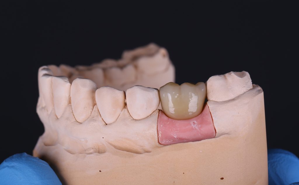
Вид готовой ортопедической конструкции

Интраоральная рентгенограмма, загруженная в FMX модуль Diagnocat демонстрирует благоприятную ортопедическую позицию имплантата







