Лечение тяжелых форм заболеваний пародонта

Picture of Diagnocat

Diagnocat

Обновлено: 14 февраля, 2024
Опубликовано: 14 февраля, 2024

Хотим поделиться с Вами пародонтологическим кейсом:
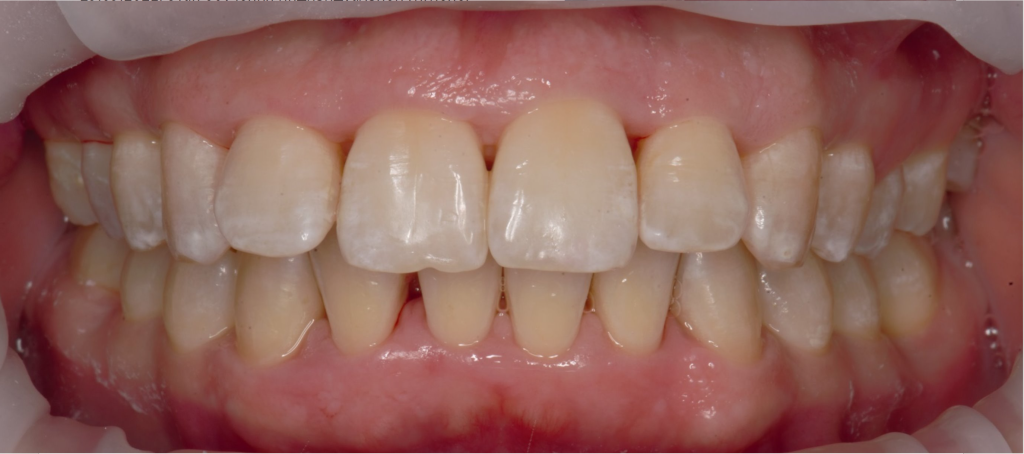
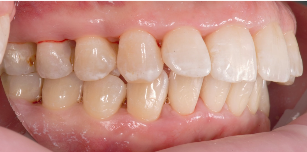
Молодой пациент обратился с жалобами на подвижность зубов и дискомфорт во время приема пищи

Был выполнен полный диагностический комплекс, включающий КЛКТ исследование и запись пародонтальной карты

Лечение тяжелых форм заболеваний пародонта 5

На STL реконструкции Diagnocat врач может визуализировать конфигурацию дефектов, наглядно продемонстрировать пациенту необходимость своевременного лечения

Лечение тяжелых форм заболеваний пародонта 7

Анализ кросс секций в отчёте Diagnocat позволяет обнаружить поддесневые отложения и составить прогноз для каждого зуба перед началом комплексного лечения с учётом эндо-, паро- и функциональных критериев

Лечение тяжелых форм заболеваний пародонта 9

Благодаря планированию на основании данных Diagnocat удалось получить прогнозируемый результат лечения

Поделится

Добро пожаловать в Diagnocat

Пожалуйста, выберите свой регион или страну

Смотреть запись

Готовы начать?
Выбранные продукты У вас есть купон?
Подождите...

Пожалуйста, выберите вариант, который вам подходит

Врачи
Для независимых врачей и специалистов, развивающих личный бренд
Многопрофильные и сетевые клиники
Известные стоматологические организации и практики, предоставляющие широкий спектр специализированных стоматологических процедур
Зуботехнические лаборатории
Зуботехнические лаборатории, предоставляющие услуги независимым стоматологическим клиникам или специалистам с несколькими специализациями

Добро пожаловать в Diagnocat

Пожалуйста, выберите свой регион или страну