Планирование имплантации с помощью модулей Diagnocat поможет сэкономить время врача и повысить качество имплантологического лечения!

Принято решение о проведении одномоментной имплантации для замещения зубов 2.4, 2.5. Планирование начинается с внутриротового сканирования и импорта цифровых моделей в модуль «3D модели»

3D-реконструкция, созданная на основе DICOM и интраорального скана в модуле «3D модели» Diagnocat позволяет выбрать оптимальные размер и расположение импланта

На основе цифровых моделей спланирован виртуальный дизайн навигационного шаблона для замещения зубов 2.4, 2.5



На основе цифровых моделей спланирован виртуальный дизайн навигационного шаблона для замещения зуба 3.6


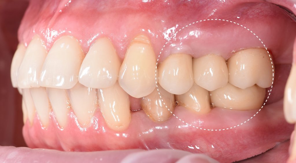
Результат совместной работы с Diagnocat — благоприятный исход ортодонтического и хирургического этапов лечения








