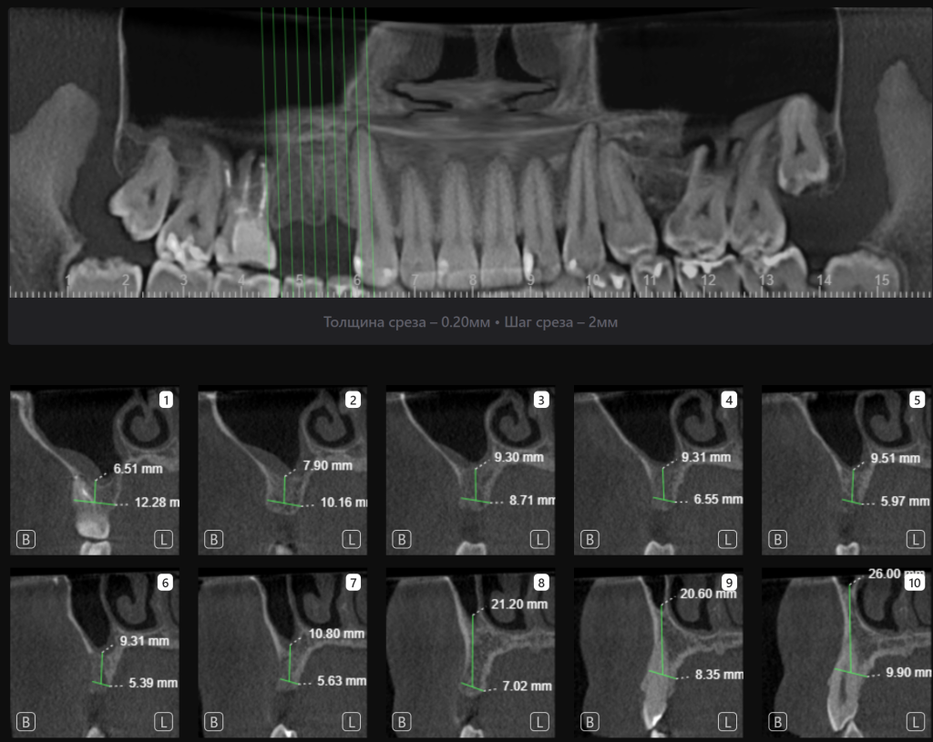
Давайте рассмотрим возможности Diagnocat на примере клинического случая с планированием имплантации на месте отсутствующих зубов 1.4 и 1.5

«Имплантологический отчет», созданный искусственным интеллектом Diagnocat, помогает определить оптимальные размер и расположение имплантата в соответствии с индивидуальными особенностями анатомии

С использованием модуля «3D модели» Diagnocat, возможно создание виртуальных навигационных шаблонов. Для этого в этот модуль загружаются данные из интраорального сканирования и подбирается соответствующая КЛКТ для их совмещения


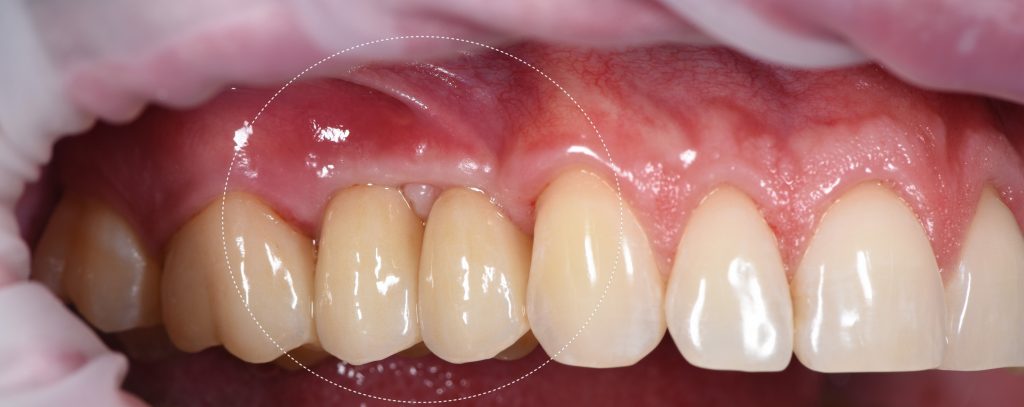
Сформирован желаемый профиль прорезывания



Интраоральная рентгенограмма, загруженная в FMX модуль Diagnocat демонстрирует благоприятную ортопедическую позицию имплантатов






