Планирование имплантации зуба в эстетически важной зоне является ключевым этапом для успешного восстановления улыбки пациента. Diagnocat использует передовые алгоритмы для анализа клкт, помогая врачу определить оптимальное место для импланта с учётом функциональных и эстетических критериев

Пациент обратился с жалобами на отсутствующий зуб 2.2

«Имплантологический отчет» Diagnocat в режиме реального времени анализирует параметры костного гребня, облегчая процесс выбора оптимальных размера и расположения имплантата и значительно ускоряет процесс планирования имплантации

С использованием модуля «3D модели» Diagnocat, возможно создание виртуальных навигационных шаблонов. Для этого в этот модуль загружаются данные из интраорального сканирования и подбирается соответствующая КЛКТ для их совмещения

Хирургический этап имплантологического лечения

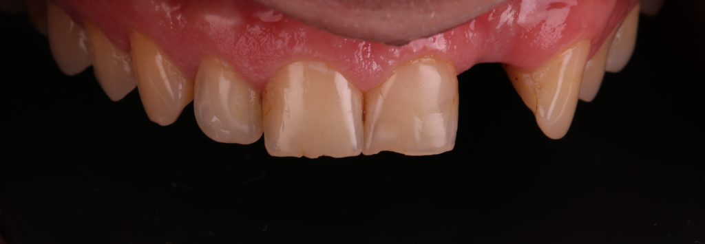
Внешний вид ортопедической конструкции

На послеоперационной рентгенограмме загруженной в FMX модуль – мы видим благоприятный исход имплантологического лечения







