Как Diagnocat AI может помочь вам в планировании тотальной ортопедической реабилитации пациента? Если вы ищете инновационные решения для создания комплексного лечебного плана, то Diagnocat AI может быть полезным инструментом для Вас

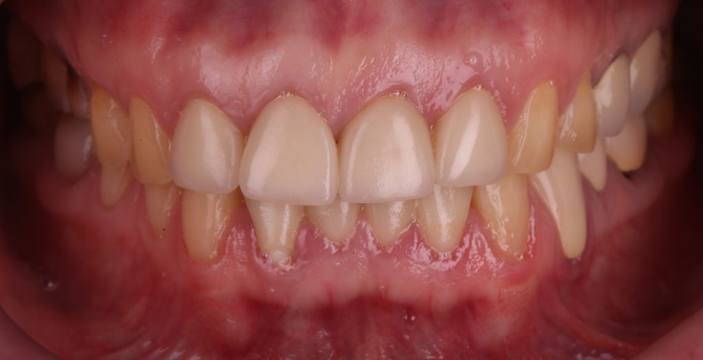
Пациентка обратилась с жалобами на неудовлетворительную эстетику зубных рядов. Выполнен полный диагностический комплекс, включающий КЛКТ исследование

Благодаря отчету Diagnocat планируем последовательность этапов терапевтической санации и имплантологического лечения. Обратите внимание, искусственный интеллект Diagnocat умеет различать такие патологии как «повышенная стираемость» и «клиновидный дефект» и отражает это в отчете

С помощью модуля 3D-Viewer мы можем визуализировать область интереса одновременно по всем трем осям и определить прогноз зуба до начала лечения

«Эндодонтический отчет» Diagnocat помогает зафиксировать изначальный объем периапикального очага и изучить анатомию и морфологию корневых каналов до начала лечения

Проведено повторное эндодонтическое лечение зуба 3.6. Успешно извлечена культевая вкладка

«Имплантологический отчет»- это модуль созданный для автоматического определения параметров альвеолярного гребня, что значительно упрощает выбор оптимальных размера и расположения имплантата

Готовые ортопедические конструкции

Итоговый результат комплексной ортопедической реабилитации вместе с Diagnocat AI

Через 18 месяцев от начала лечения выполнена повторная КЛКТ с анализом данных системой Diagnocat







