
Let’s explore the capabilities of Diagnocat through a clinical case example of planning implant treatment for the replacement of missing teeth 14 (Universal 5) and 15 (Universal 4)

With Diagnocat’s STL module, you can generate aligned CBCT-IOS model used in guided implant surgery. Simply upload intraoral scan data to the module and choose the corresponding CBCT for seamless merging.

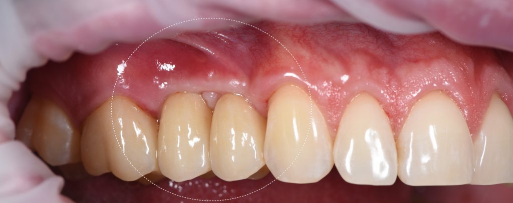
The desired emergence profile was created



An intraoral radiograph was uploaded into the Diagnocat FMX module, this demonstrates the most favorable prosthetic implants position





