Fallstudie – Kieferorthopädischer Behandlungsplan nach Zahnextraktion

Picture of Diagnocat

Diagnocat

Aktualisiert: März 20, 2024
Veröffentlicht: August 9, 2023

Wir stellen einen Fall einer Zahnextraktion 15 (Universal 4) vor, bei dem eine kieferorthopädische Konstruktion verwendet wurde, um die Höhe der klinischen Krone zu erhöhen. Dadurch konnte der Zahn erhalten und die prothetische Behandlung fortgesetzt werden.

Fallstudie - Kieferorthopädischer Behandlungsplan nach Zahnextraktion 1

Der Patient stellte sich mit Beschwerden über die Beweglichkeit der Brücke an den Zähnen 14 (Universal 5) und 15 (Universal) vor.

Fallstudie - Kieferorthopädischer Behandlungsplan nach Zahnextraktion 3

Um eine klinische Entscheidung zu treffen, analysierte der Zahnarzt die Untersuchungsdaten und den Diagnocat-Röntgenbericht. Der Bericht enthält eine Bewertung der Vorbehandlung und Informationen über das Vorhandensein von periapikaler Radioluzenz.

Fallstudie - Kieferorthopädischer Behandlungsplan nach Zahnextraktion 5

Man beachte die hohe Wahrscheinlichkeit, die Diagnocat anzeigt. Es wurde entschieden, die Zähne zu erhalten und eine endodontische Behandlung durchzuführen.

Fallstudie - Kieferorthopädischer Behandlungsplan nach Zahnextraktion 7

Die endodontische Behandlung wurde durchgeführt.

Fallstudie - Kieferorthopädischer Behandlungsplan nach Zahnextraktion 9

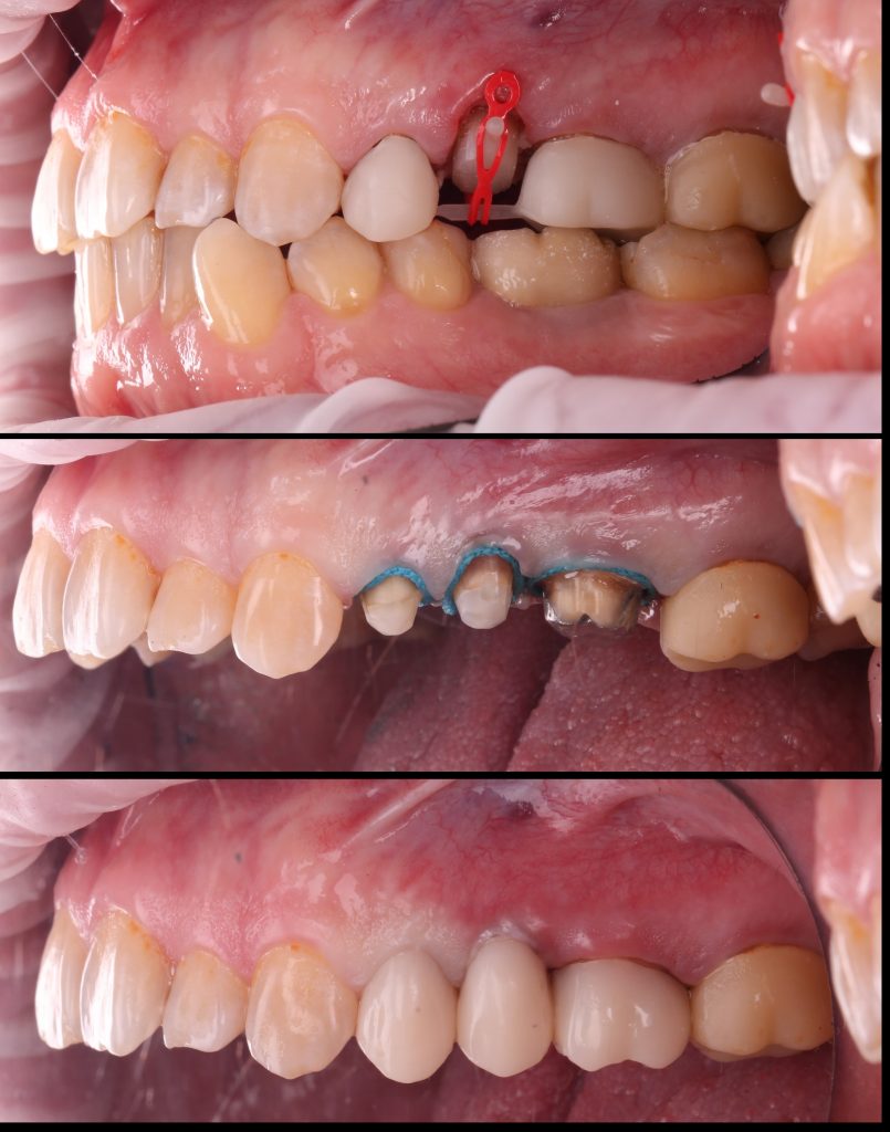
Es wurde genügend Hartgewebe über der Gingiva gewonnen, um einen Ferrule-Effekt zu erzielen. Die erste Phase der prothetischen Rehabilitation wurde mit dem Einsetzen der provisorischen Kronen abgeschlossen.

Fallstudie - Kieferorthopädischer Behandlungsplan nach Zahnextraktion 11

Teilen

Willkommen bei Diagnocat

Bitte wählen Sie Ihre Region oder Ihr Land

Sehen Sie sich die Platte an

Sind Sie bereit?
Loading...

Klicken Sie auf die Option, die Sie und Ihr Unternehmen am besten beschreibt

Einzelpraxen
Selbstständige Allgemeinmediziner und Fachärzte, die ihre persönliche Marke entwickeln wollen
Multispezialisierte Kliniken und zahnärztliche Dienstleistungsorganisationen
Etablierte zahnärztliche Organisationen und Praxen, die mehrere spezialisierte zahnärztliche Behandlungen anbieten
Laboratorien und Diagnosezentren
Dentallaboratorien, die Dienstleistungen für unabhängige Zahnarztpraxen oder für mehrere Fachrichtungen erbringen

Willkommen bei Diagnocat

Bitte wählen Sie Ihre Region oder Ihr Land